Results

Wondering how orthodontics can improve the function of bites, aesthetics and self-esteem? Below you will find a collection of results of real patients treated at Northern Beaches Orthodontics who love their new smiles.


Anterior Open Bite


Cross Bite


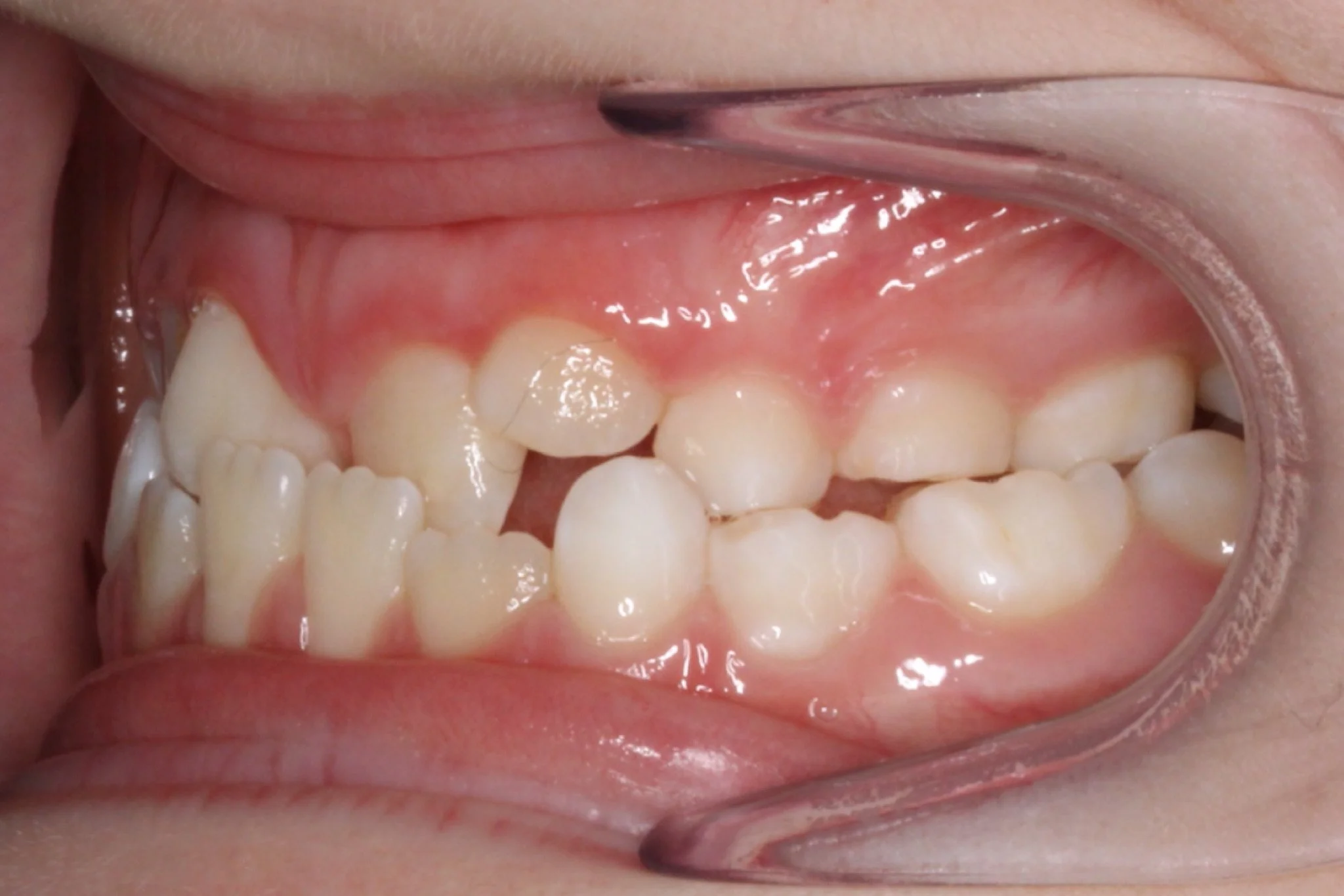
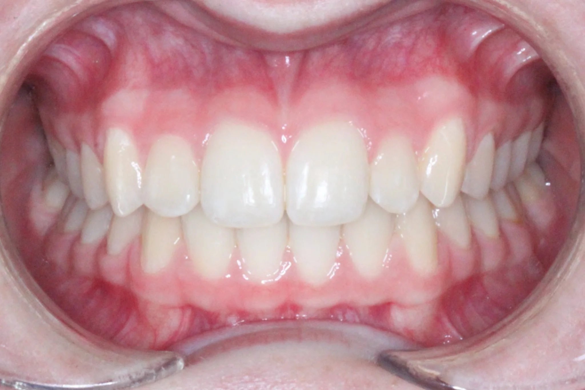
Crowding


Deep Bite


Displaced Canines


Early Treatment


Impacted Teeth


Protrusive Teeth


Spacing


Surgery


Under Bite